安心と精度を両立する内視鏡治療 ~EMR(内視鏡的粘膜切除術)の実際~ くまのまえファミリークリニック 大腸カメラレポート②
~“安全に・確実に”大腸ポリープを取り切る~内視鏡的粘膜切除術(EMR)の一例をご紹介✨
こんにちは😊
くまのまえファミリークリニックのブログをご覧いただきありがとうございます。
今回は、当院で実施した 内視鏡的粘膜切除術(EMR:Endoscopic Mucosal Resection) の症例をご紹介いたします。
「EMRってなに?」「ポリープの切除方法は一種類じゃないの?」という疑問をお持ちの方にも、実際の医療現場の様子をわかりやすくお伝えします💡
検査や治療に対する不安が少しでも和らげば幸いです🍀
🔍 症例紹介
患者さん:41歳 女性
主訴:血便
排便時に血が混じったため、当院 くまのまえファミリークリニック を受診されました。
当院では鎮静下(眠った状態)での大腸カメラ検査が可能です💤
今回も患者さんのご希望により、リラックスした状態で検査を行いました。
🔬 検査結果と治療内容
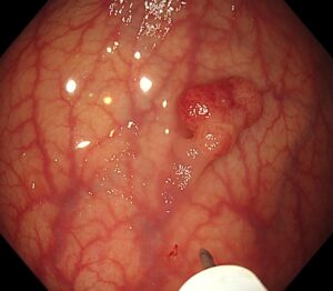
検査の結果、S状結腸に約12mmの有茎性ポリープ(Ip型) を発見しました🍄(写真1)
(写真1)

今回はポリープの茎が短かったため、EMR(内視鏡的粘膜切除術) を選択しました。
EMRは、粘膜の下に生理食塩水を注入して粘膜を持ち上げ、その部分を安全に切除する方法です。
筋層より深い部分に傷をつけないため、より低侵襲で確実な治療が可能です✨
手技の流れは以下の通り👇
👉 局注針を内視鏡から出します(写真2)
(写真2)

👉 生理食塩水をポリープの下に注入し(写真3)、 粘膜下層がふっくらと盛り上がりました(写真4)
(写真3)

(写真4)

👉 スネア(リング状のワイヤー)をかけて(写真5)
(写真5)

👉 スネアを締め、高周波電流で焼き切ります(写真6)
(写真6)

💫 術中の出血もなく、安全に切除完了(写真7)!
(写真7)

術後経過も良好で、出血などの合併症も一切ありませんでした🙆♀️
🧬 病理検査の結果
● 組織型:Group3. Tubular adenoma, Low grade(低異型度腺腫)
● 切除断端:陰性(取り残しなし)
良性ポリープでしたが、将来的にがん化のリスクを持つタイプです。
今回のように早期発見・早期切除ができたことが非常に重要です。
なお、同日に S状結腸 10mm Isp型に対してEMR、直腸(Rs)8mm Is型に対してEMR も併せて施行し、すべて安全に完了いたしました。
🏥 くまのまえファミリークリニックの内視鏡検査はここが違う!
🔹 消化器内視鏡専門医が全例を担当
🔹 鎮静下で“眠っている間に終わる”苦痛の少ない検査
🔹 最新機器と確かな技術で、安心・安全な内視鏡治療を提供
「便潜血が陽性だったけど、後回しにしている…」
「検査が怖くてなかなか踏み出せない…」
そんな方こそ、ぜひ くまのまえファミリークリニック にご相談ください🌿
あなたの“安心”と“健康”を守るために、私たちがしっかりサポートいたします。
📍 くまのまえファミリークリニック
胃腸の不調と真摯に向き合う、確かな技術とあたたかい医療。
あなたにとっての“内視鏡のスペシャル・ワン”が、ここにいます✨
📞 TEL:052-876-3351
🏠 〒458-0837 名古屋市緑区兵庫1-411-2
🌐 【WEB予約はこちら】




